
सिम्स में सोनोग्राफी की मदद से जटिल ऑपरेशन कर मांसपेशियों में धंसे लोहे के टुकड़े निकाले गए

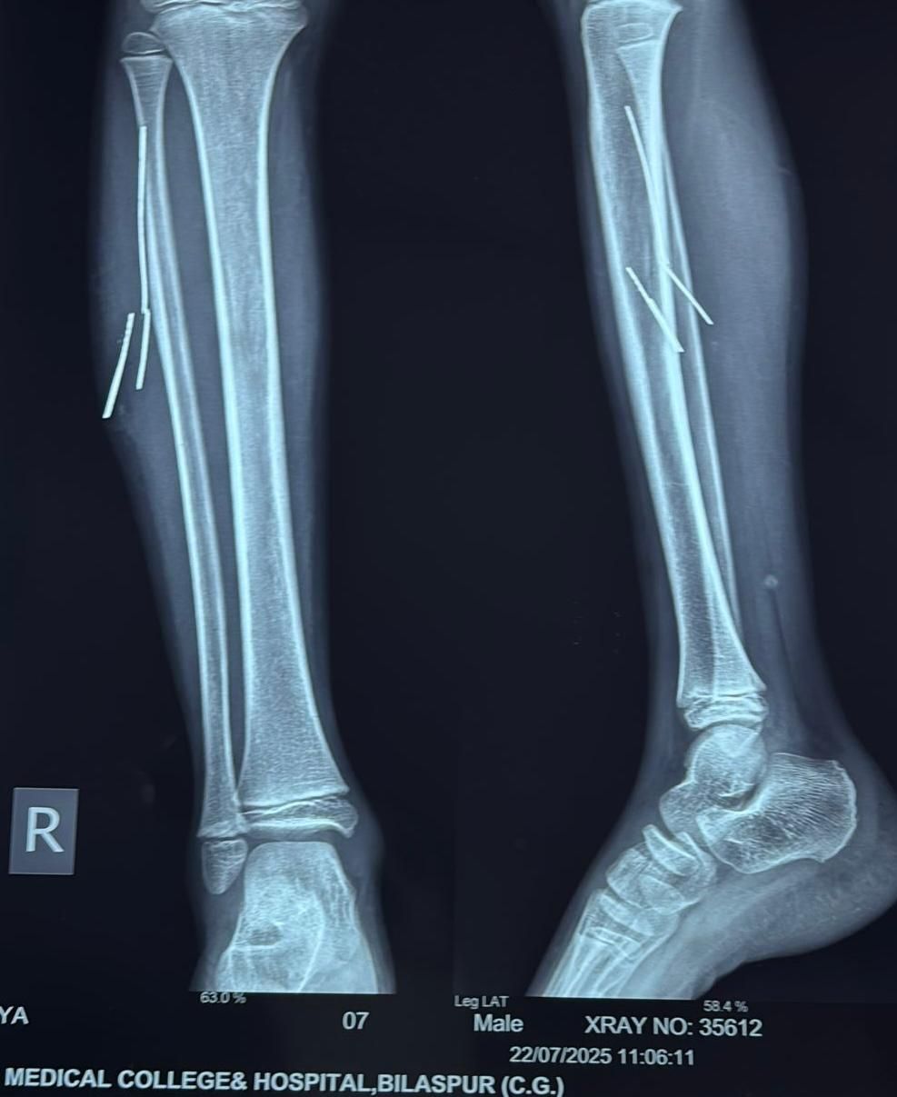
यश विश्वकर्मा @ बिलासपुर। सिम्स (छत्तीसगढ़ आयुर्विज्ञान संस्थान) ने चिकित्सा के क्षेत्र में एक और सराहनीय उपलब्धि दर्ज की है। यहां रेडियोलॉजी और सर्जरी विभाग की टीम ने संयुक्त रूप से एक 10 वर्षीय बालक के पैर में गहराई तक धंसे लोहे के चार टुकड़ों को लाइव सोनोग्राफी की मदद से सफलतापूर्वक निकालकर उसे वर्षों की पीड़ा से राहत दिलाई।
लमेर निवासी आदित्य खांडे (10 वर्ष), चार माह पहले साइकिल दुर्घटना का शिकार हो गया था। टायर फटने के दौरान साइकिल से निकला लोहे का तार उसके दाहिने पैर में घुस गया था। तार अंदर ही टूटकर मांसपेशियों में धंस गया और धीरे-धीरे मवाद बनने लगा। लगातार सूजन और दर्द से परेशान होकर परिजन उसे सिम्स के सर्जरी विभाग लेकर पहुंचे।

यहां सर्जन डॉ. बी.डी. तिवारी की टीम ने एक्सरे और सोनोग्राफी जांच कराई, जिसमें तार के चार टुकड़े (2 से 5 सेमी लंबाई के) पैर की मांसपेशियों में गहराई तक धंसे होने की पुष्टि हुई।
स्थिति की गंभीरता को देखते हुए सर्जन डॉ. ओ.पी. राज और डॉ. बी.डी. तिवारी ने ऑपरेशन का निर्णय लिया। लेकिन परंपरागत ऑपरेशन की तुलना में कम चीरा लगाकर तारों को निकालने की योजना बनाई गई। इसके लिए रेडियोलॉजी विभागाध्यक्ष डॉ. अर्चना सिंह के निर्देशन में डॉ. अमन अग्रवाल ने ऑपरेशन थिएटर में ही लाइव सोनोग्राफी कर लोकेशन चिन्हित की।
इस सटीक तकनीक की मदद से सर्जनों ने बिना मांसपेशियों को अधिक क्षति पहुँचाए तारों को निकाल दिया। ऑपरेशन के बाद बच्चा अब मेल सर्जरी वार्ड में तेजी से स्वस्थ हो रहा है।

इस जटिल ऑपरेशन में सर्जरी विभागाध्यक्ष डॉ. रघुराज सिंह, एनेस्थीसिया विभागाध्यक्ष डॉ. मधुमिता मूर्ति, डॉ. भावना रायजादा, डॉ. मिल्टन, डॉ. श्वेता कुजूर और डॉ. मयंक अग्रे की अहम भूमिका रही।
सिम्स अधिष्ठाता डॉ. रमनेश मूर्ति और चिकित्सा अधीक्षक डॉ. लखन सिंह ने इस सामूहिक सफलता पर टीम की सराहना करते हुए कहा कि “आपकी निष्ठा, समर्पण और सेवा भावना संस्था के लिए गौरव का विषय है। इसी तरह सुदूर अंचलों के मरीजों को जीवनदायी सेवा मिलती रहे, यही अपेक्षा है।”